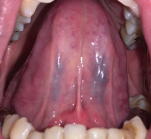
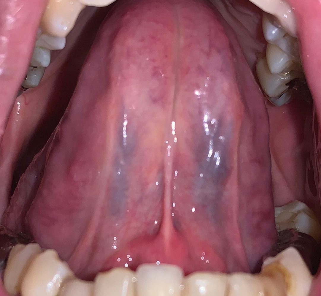
舌診 | グラン治療院|美容鍼灸・小顔・リフトアップ専門

Warning: Undefined array key 0 in /home/biyoshinkyu/biyoshinkyu.net/public_html/wp-content/themes/Grand/single.php on line 16

Warning: Attempt to read property "slug" on null in /home/biyoshinkyu/biyoshinkyu.net/public_html/wp-content/themes/Grand/single.php on line 16

スタッフコラム詳細